耐火材料测试与性能-含70%氧化铝耐火材料
含70%Al2O3级别耐火材料因其高使用率或高负荷等级,以及在渣腐蚀或发生其他反应的许多工艺中的耐久性,成为工业窑炉中的 “主力军”。
这类耐火材料可由(1)含70% Al2O3的铝矾土制成,也可由(2)铝矾土(含88% Al2O3)和耐火粘土(含40% Al2O3)的适当混合物制成。
与60%Al2O3级别耐火材料的情况一样,耐火材料的矿物基质对70%Al2O3级别耐火材料的物理性能和热反应有很大的影响。
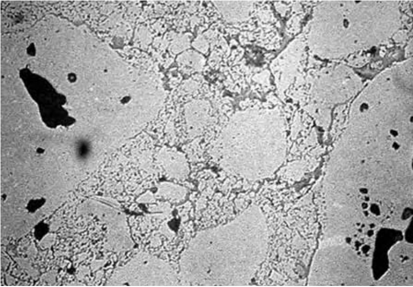
两种70%氧化铝级别耐火材料的化学成分和物理性能见表10。与矾土制品相比,煅烧矾土制品的再热膨胀率(PLC)更高,剥落损失也更大。图7和图8显示了两种70%Al2O3级别耐火材料的微观结构。在图7中,制品是由经过煅烧后形成骨料颗粒制成并分布均匀,骨料周围是质地细腻的基体。相比之下,由煅烧矾土制成的制品具有完全不同的外观。深色矾土颗粒在微观结构中占主导地位,但在图8的显微照片右下方可以明显看到煅烧粘土骨料颗粒。含有莫来石的玻璃基质包围着所有颗粒。对比图7和图8可以发现,同一类氧化铝级别耐火材料的成分可能完全不同,仅从微观结构来看,这些制品的关键再加热(PLC)性能也会不同。


图7 基于铝土高岭土的70%Al2O3砖

图8 基于煅烧铝土矿和粘土的70%Al2O3砖
常见耐火材料技术指标
硅砖检测、熔融石英制品检测、半硅砖检测、粘土砖检测、高铝砖检测、莫来石砖检测、刚玉砖检测、铝硅衍生制品检测、镁砖检测、镁铬砖检测、镁铝砖检测、镁钙砖检测、镁硅砖检测、镁硅砖检测、高炉用碳砖检测、矿热炉用碳砖、铝电解阴极炭块、碳质不定形材料、石墨质耐火制品检测、镁碳砖检测、耐火材料矿相分析、不定形耐火材料的检测、铝炭质耐火材料的检验、铝镁碳质耐火材料的检验、Al2O3-SiC-C砖的检验
专业第三方检测机构,权威检测机构。 您值得信赖!
囯磨质检——专业第三方检测机构
囯磨质检——为什么选择我们
耐火材料是一种广泛应用于冶金、建筑、化工等行业的高温材料,它具有良好的耐火性、抗热震性、抗化学腐蚀性等特点。耐火材料的性能检测是保证其质量和使用寿命的重要环节,需要采用专业的检测设备和标准方法进行。国磨质检,拥有先进的检测设备和资深的技术人员,能够为客户提供全面、准确、快速的检测服务。国磨质检耐火材料检测中心能够对耐火材料进行以下方面的检测:
耐火砖:包括常规耐火砖、特种耐火砖等,能够检测其物理性能(如体积密度、吸水率、抗压强度等)、化学性能(如氧化铝含量、碱金属氧化物含量等)、热性能(如荷重软化温度、线膨胀系数等)等指标。
不定形耐火材料:包括喷涂料、涂层料、堵口料、胶泥等,能够检测其物理性能(如含水量、可塑性指数、透气度等)、化学性能(如碱金属氧化物含量、残碳含量等)、热性能(如耐火度、导热系数、抗热震性等)等指标。
国磨质检耐火材料检测中心遵循国家标准和行业标准进行检测,保证数据的客观性和可靠性。国磨质检精耐火材料检测中心还提供专业的技术咨询和解决方案,帮助客户选择合适的不耐火材料,提高其使用效果和经济效益。如果您有耐火材料检测的需求,欢迎访问联系我们,我们将竭诚为您服务!
首页
检测领域
服务项目
咨询报价